症例集

CASE FILES

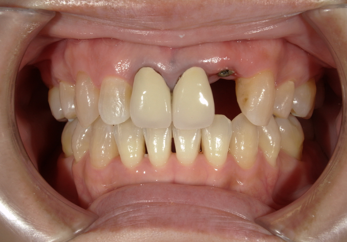
  • 症例1 50代女性

    • BEFORE

    • AFTER

    主訴

    奥歯がない状態で噛み合わせが悪い。

    施術内容

    一度インプラント体を埋め込むための骨を再生させる処置を行った後、
    顎の骨にインプラント体を埋め込み、その上に人工の歯を固定した。

    治癒期間

    およそ12ヶ月

    費用

    506,000円

    リスク・副作用

    上顎洞炎などの合併症や偶発症が避けられない場合がある		
    痛みや腫れなどの症状が発生する可能性がある		
    インプラント歯周炎になるリスクがある
  • 症例2 40代女性

    • BEFORE

    • AFTER

    主訴

    根の先に膿があり、歯を残すことは困難だと判断し抜歯を行った。
    抜歯後噛み合わせを考慮しインプラントにすることを決断した。

    施術内容

    一度インプラント体を埋め込むための骨を再生させる処置を行った後、
    顎の骨にインプラント体を埋め込み、その上に人工の歯を固定した。
    今回の症例は骨造成に時間がかかり、長期の治療となった。

    治癒期間

    およそ18ヶ月

    費用

    709,500円

    リスク・副作用

    上顎洞炎などの合併症や偶発症が避けられない場合がある		
    痛みや腫れなどの症状が発生する可能性がある		
    インプラント歯周炎になるリスクがある
  • 症例3 40代女性

    • BEFORE

    • AFTER

    主訴

    歯の痛みと歯茎の腫れがある。

    施術内容

    顎の骨にインプラント体を埋め込み、その上に人工の歯を固定した。

    治癒期間

    およそ8ヶ月

    費用

    528,000円

    リスク・副作用

    上顎洞炎などの合併症や偶発症が避けられない場合がある		
    痛みや腫れなどの症状が発生する可能性がある		
    インプラント歯周炎になるリスクがある
  • 症例4 60代女性

    • BEFORE

    • AFTER

    主訴

    歯周病があり、前歯がグラグラで弱っている。

    施術内容

    顎の骨にインプラント体を埋め込み、その上に人工の歯を固定した。

    治癒期間

    およそ9ヶ月

    費用

    1,100,000円

    リスク・副作用

    上顎洞炎などの合併症や偶発症が避けられない場合がある		
    痛みや腫れなどの症状が発生する可能性がある		
    インプラント歯周炎になるリスクがある
  • 症例5 50代女性

    • BEFORE

    • AFTER

    主訴

    歯に痛みがあり来院。
    骨が溶けてきており、歯を残すことは困難だと判断した。

    施術内容

    一度インプラント体を埋め込むための骨を再生させる処置を行った後、
    顎の骨にインプラント体を埋め込み、その上に人工の歯を固定した。

    治癒期間

    およそ12ヶ月

    費用

    286,000円

    リスク・副作用

    上顎洞炎などの合併症や偶発症が避けられない場合がある		
    痛みや腫れなどの症状が発生する可能性がある		
    インプラント歯周炎になるリスクがある
ページの先頭へ戻る